Free

Влияние дексмедетомидина на рентгенографический размер сердца у здоровых кошек

Veterinary Radiology & Ultrasound
Volume 57, Issue 3, pages 230–236, May/June 2016

Сокращенная статья

Дексмедетомидин, альфа2-адренергически1 антагонист, может быть использован у животных – компаньонов для медикаментозного ограничения подвижности, включая оценку размеров сердца. Описаны эхокардиографические изменения, ассоциированные с альфа2-адренергическими агонистами; однако сообщения о рентгенографических изменениях у кошек не были найдены ко времени проведения этого исследования. Целями этого обсервационного, проспективного, экспериментального исследования были описание эффектов дексмедетомидина на рентгенографический вид силуэта сердца у здоровых взрослых кошек. Четырнадцать здоровых взрослых кошек получали дексмедетомидин в дозе 40 мкг/кг внутримышечно. Правая латеральная, левая латеральная, вентродорсальная и дорсовентральная рентгенографические проекции были получены для каждой кошки в трех временных точках: до седации, во время седации и после седации (≥ 2 часов после реверсии атипамезолом).
Рентгенограммы оценивались слепым рандомизированным методом двумя независимыми экспертами с использованием метода оценки размера сердца по длине грудных позвонков для всех четырех проекций, количества межреберных пространств в латеральных проекциях и процента ширины грудной клетки на вентродорсальных и дорсовентральных проекциях. Средний показатель оценки размера сердца по длине грудных позвонков в правой латеральной проекции значительно увеличивался во время седации (медиана= 7.8; разброс = 7.25–8.25), в сравнении с измерением до седации (медиана = 7.5; разброс = 7–8 [P = 0.001]). Средний процент ширины был значительно выше во время седации (70% на вентродорсальной проекции; разброс 65–80 [P = 0.001], и 75% на дорсовентральной проекции; разброс 65–80 [P = 0.006]) в сравнении с измерениями до седации (65%; разброс 65–75 для обоих проекций).
Дексмедетомедин был ассоциирован с небольшим, но значимым увеличением размера силуэта сердца в правой латеральной рентгенографической проекции (метод оценки размера сердца по длине грудных позвонков)вентродорсальной рентгенографической проекции (процент ширины) и дорсовентральной рентгенографической проекции (процент ширины) у здоровых взрослых кошек. Этот эффект должен быть принят во внимание для будущих интерпретаций рентгенограмм грудной клетки у кошек, седированных дексмедетомидином.
Введение
Альфа2-адренергические агонисты, включая дексмедетомидин, часто используются у животных – компаньонов в качестве седативных и обезболивающих препаратов. Альфа2-адренергические агонисты вызывают ряд кардиоваскулярных эффектов, включая сниженный сердечный выброс, брадикардию, периферическую вазоконстрикцию и преходящую гипертензию с последующей гипотензией. Хотя влияние альфа2-адренергических агонистов на эхографические параметры у собак и кошек документировано, авторам неизвестно о каких либо сообщениях о влиянии альфа2-адренергических агонистов, а именно дексмедетомидина, на рентгенографический размер силуэта сердца у собак или кошек. Рентгенографический размер силуэта сердца может быть оценен субьективно или обьективно. Субьективная оценка базируется на опыте специалиста и восприятии нормального размера.
Обьективные методы используются для количественной оценки размера сердца и включают оценку количества межреберных пространств, которые занимает сердца на латеральной рентгенографии, оценке процента ширины грудной клетки, которые занимает сердце на вентродорсальной или дорсовентральной рентгенограммах и оценке размера сердца по длине грудных позвонков на латеральной и ортогональных проекциях грудной клетки. Хотя не доказано, что обьективные методы более полезны, чем субьективная оценка опытного специалиста, обьективные методы могут быть полезны для менее опытных интерпретаторов или для серийной оценки пациента с течением времени. Рентгенографическое увеличение силуэта сердца часто ассоциировано с заболеванием сердца у кошек. В исследовании 260 кошек с гипертрофической кардиомиопатией 91% кошек имели кардиомегалию на рентгенограммах грудной клетки.
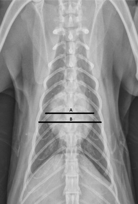
Изобр 1.Оценка процента ширины грудной клетки (A/B) на этой вентродорсальной проекции был выполнен при помощи оценки ширины силуэта сердца (A) как части ширины грудной клетки (B), на уровне, где силуэт сердца максимальной широкий. Этот метод был выполнен тем же способом для дорсовентральных проекций.
Изобр 2.Количество межреберных пространств, занимаемых сердцем, было оценено в обоих латеральных проекциях в наиболее широкой части горизонтального аспекта силуэта сердца.
Изобр 3. Оценка размеров сердца по длине грудных позвонков была выполнена в левых латеральных проекциях, как описано ранее,[7] с длинной осью (A), проведенной от основания сердца на уровне киля трахеи к верхушке сердца.
Короткая ось (B) была проведена перпендикулярно к длинной оси в месте ее максимальной ширины. Длины обеих осей были перенесены на позвоночный столб, начиная с краниального края 4 грудного позвонка. Было подсчитано количество позвонков, укладывающихся в эти показатели и суммировано (A + B) для вычисления оценки размера сердца по длине грудных позвонков. Тот же метод был использован для правых латеральных проекций.
Изобр 4. Оценки размера сердца по длине грудных позвонков были выполнены в вентродорсальных проекциях, как ранее описано,[7] с длинной осью (A), проведенной от основания сердца к верхушке.
Короткая ось (B) была проведена перпендикулярно к длинной оси, в месте ее максимальной щирины. Длины обеих осей были перенесены на позвоночный столб в латеральной проекции, начиная с краниального края 4 грудного позвонка. Было подсчитано количество позвонков, укладывающихся в эти показатели и суммировано (A + B) для вычисления оценки размера сердца по длине грудных позвонков. Тот же метод был использован для дорсовентральных проекций.
Болезни сердца собак и кошек