Free

Предположительно острая некомпрессивная экструзия пульпозного ядра у 11 кошек: клинические особенности, находки при визуализации, лечение и исход

J Feline Med Surg.
2017 Jan

Сокращенная статья

Цели
Целью этого исследования было описать клинические особенности, находки при визуализации, лечение и исход у кошек с диагностированной предположительно острой некомпрессивной экструзией пульпозного ядра.
Методы
Были ретроспективно изучены истории болезней и визуализационные исследования у кошек с диагностированной предположительно острой некомпрессивной экструзией пульпозного ядра. Информация о долговременном исходе была получена из историй болезней пациентов и от владельцев кошек или хирургов специализированного ветеринарного центра при помощи телефонного опроса.
Результаты
Одиннадцать кошек удовлетворял и критериям включения. Все кошки имели подострое начало клинических симптомов с 8 кошками, имевшими свидетелей наружной травмы (n = 6) или предположения наружной травмы на основании визуализационных находок (n = 2). Нейроанатомическая локализация включала C1–C5 (n = 1), T3–L3 (n = 7) и L4–S3 (n = 3) сегменты спинного мозга. МРТ обнаружило острые некомпрессионные экструзии пульпозного ядра, локализованные в C3–C4 (n = 1), T12–T13 (n = 1), T13–L1 (n = 1), L1–L2 (n = 1), L3–L4 (n = 3), L4–L5 (n = 1) и L5–L6 межпозвоночных дисковых пространствах (n = 3). Лечение включало поддерживающую помощь и 10 кошек были выписаны со средним временем госпитализации 10 дней (разброс 3 -26 дней). Одна кошка была эутаназирована в течение госпитализации вследствие осложнений, не связанных с неврологическим заболеванием. Все кошки, которые поступили как неспособные самостоятельно передвигаться, получили способность самостоятельно передвигаться со средним временем, необходимым для этого, 17 дней (разброс 6-21 день). В общем, исход для кошек с диагностированной острой некомпрессионной экструзией пульпозного ядра был успешный, с почти 90% кошек с восстановившейся способностью передвигаться и недержанием мочи и кала.
Заключение и клиническая значимость
Большая часть кошек с диагностированной острой некомпрессионной экструзией пульпозного ядра имела хороший исход. Острая некомпрессионная экструзия пульпозного ядра должна рассматриваться в качестве дифференциального диагноза для кошек с острым началом дисфункции спинного мозга, особенно, если имеется клиническая история или доказательство травмы.

Введение

Острая некомпрессионная экструзия пульпозного ядра (ANNPE), ранее описываемая как травматическая экструзия межпозвоночного диска (IVDE), высокоскоростная/низкообьемная IVDE и III тип IVDE, наблюдается в том случае, когда здоровый и гидратированный межпозвоночный диск подвергается внезапному и избыточному воздействию и типично наблюдается после энергичных упражнений или травмы.1–4 Этот тип IVDE приводит к контузии спинного мозга с минимальной компрессией спинного мозга или отсутствием ее. 1–3 Об ANNPE часто сообщается у собак; 1–3 однако, имеется только одно сообщение, описывающее ANNPE у кошек. 4,5 Собаки с предположительной ANNPE типично имеют подострое начало дисфункции спинного мозга, которое не прогрессирует после 24 часов 1,2 Клинические симптомы часто сильно латерализованы и может наблюдаться слабо или средне выраженная спинальная гиперстезия в приблизительно половине случаев. 2,6
Окончательный диагноз ANNPE может быть подтвержден только гистопатологией. 1 Однако, МРТ может быть использована для того, чтобы сделать предположительный диагноз со специфическими характеристиками, идентифицированным для того, чтобы получить предположительный прижизненный диагноз ANNPE. 2,3
Типичное лечение включает физиотерапию и поддерживающую помощь с использованием анальгетиков, если это требуется. 6 Исход рассматривается как хороший у собак, с меньшинством животных, у которых не восстанавливается нормальная неврологическая функция. 2 Несмотря на то, что это заболевание хорошо охарактеризовано у собак, мало известно о клинической картине, визуализационных находках и исходах у кошек. Поэтому, целью этого исследования было описание клинических находок, визуализационных находок, лечения и исхода у большого количества кошек с диагностированной предположительной ANNPE. Мы предположили, что кошки с диагностированной предположительной ANNPE будут иметь характерные особенности, как у собак, и иметь хороший долговременный исход.
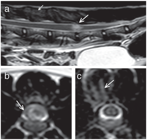
Изобр 1 (a) Сагиттальные T2-взвешенные и (b) поперечные T2- взвешенные изображения на уровне L5–L6 межпозвоночных дисковых пространств, и (c) тело позвонка L4 египетской мау в возрасте 2 года и 9 месяцев (кошка 2). (a) Фокальная внутрипаренхимальная гиперинтенсивность имеется на уровне L5–L6 межпозвоночного дискового пространства (длинная стрелка). Хотя пульпозное ядро имеет сниженный обьем, в сравнении с соседним диском, у него сохраняется гомогенный гиперинтенсивный сигнал. (b) Небольшое количество постороннего материала имеется в эпидуральном пространстве (стрелка). (a,c) Плохо отграниченная гиперинтенсивность в пределах эпаксиальной мускулатуры на уровне тела позвонка L4, что наводит на мысль о контузии эпаксиальной мускулатуры, отеке или геморрагии, рассматривалась показательной для наружной травмы (короткая стрелка [a] и стрелка [c]).

Результаты

Анамнез
Все кошки имели острое или подострое начало клинических симптомов. Среднее время до первичного обследования было 14 часов (разброс 2-48 часов) после появления неврологических симптомов. До первичного обследования у 6 кошек свидетелями был установлен факт травмы (дорожная травма[n = 3] или падение с высоты [n = 3]). Остальные 5 кошек были найдены или дома или близко от дома и начало клинических симптомов не было зафиксировано свидетелями.
Клинические находки
Большая часть кошек (n = 10) имели клинические симптомы парапареза или параплегии Нейроанатомическая локализация включала C1–C5 (n = 1), T3–L3 (n = 7) и L4–S3 (n = 3) сегменты спинного мозга. Клинические симптомы были непрогрессирующими у всех кошек после первичного обследования. Пять кошек имели симптомы, характерные для наружной травмы, включая травму головы, ушиб легких и повреждение когтей.
МРТнаходки
МРТ выявило ANNPEлокализованную на уровне C3–C4 (n = 1), T12–T13 (n = 1), T13–L1 (n = 1), L1–L2 (n = 1), L3–L4 (n = 3), L4–L5 (n = 1) и L5–L6 межпозвозвоночных дисковых пространств (n = 3). Одна кошка имела перелом дорсального остистого отростка L7 позвонка, который не был ассоциирован ни с нейроанатомической локализацией, ни с анатомической локализацией ANNPE и, поэтому, рассматривался как случайный. Имелось доказательство патологической T2- взвешенной гиперинтенсивности в пределах эпаксиальной мускулатуры, в сравнении с окружающей мускулатурой, наводя на мысль о контузии, геморрагии или отеке у 5 кошек (Изобр 1с). Из этих 5 кошек 2 кошки не имели историю или находки исследования, совместимые с травмой, в то время, как другие 3 кошки имели подтверждение травмы свидетелями.
Лечение и кратковременный исход
Все кошки получали физиотерапию, выполняемую ветеринарным физиотерапевтом и/или квалифицированным персоналом, состоящую из массажа, пассивных движений, поддержке при стоянии и физических упражнениях для развития силы и координации в зависимости от необходимости и переносимости у конкретной кошки. Пять кошек, которые демонстрировали симптомы спинальной гиперстезии, получали анальгетики, которые включали опиоиды (т.е.. метадон и бупренорфин; n = 3), нестероидные противовоспалительные препараты (n = 1) и габапентин (n = 1).
Медиана времени для кошек с отсутствием восприятия глубокой боли (n = 3) до восстановления чувстительности составляла 2 дня (разброс 1-3 дня). Из кошек, которые поступили с параплегией, включая кошек с отсутствием восприятия глубокой боли (n = 5), медиана времени восстановления произвольных движений (неамбулаторных) составляла 4 дня (разброс 2-7 дней). Для кошек, которые были неспособны передвигаться (включая кошек с параплегией; n = 9), медиана времени до восстановления способности самостоятельно передвигаться составляла 17 дней (разброс 6 -21 день).
Пять кошек требовали лечения мочевого пузыря в течение госпитализации, включая установку мочевого катетера (n = 1), периодическую катетеризацию (n = 1) и ручное отдавливание мочи (n = 3). Две кошки получали симпатолитики (празозин) с целью лечения мочевого пузыря. Три кошки были выписаны с улучшением моторной функции, но продолжали требовать отдавливания мочи из пузыря.Кошки имели медиану госпитализации 10 дней (разброс 3-26 дней). Четыре из 10 кошек, которые выжили к моменту выписки, имели способность самостоятельно передвигаться к этому времени. Одна кошка не дожила до выписки и была эутаназирована вследствие респираторных осложнений в результате ушиба легких. Кратковременный исход (4-6 недель после диагностирования предположительной ANNPE) у 6 кошек показал, что все кошки имели способность самостоятельно передвигаться и имели улучшение неврологической функции, в зависимости от времени выписки; однако, ни одна из этих кошек не рассматривалась как неврологически нормальная.
Долговременный исход
Данные о долговременном исходе у 8 кошек (4 кошки также были включены в оценку кратковременного исхода) были получены от хирургов специализированного ветеринарного центра (n = 2) или ветеринарных хирургов и владельцев (n = 6). Медиана продолжительности времени между началом клинических симптомов и оценкой исхода была 44 месяца (разброс 4-68 месяцев). Ни одна из кошек не демонстрировала симптомы дальнейшего улучшения через 6 месяцев после постановки предположительного диагноза ANNPE. Хотя все кошки имели способность самостоятельно передвигаться и не демонстрировали какие либо симптомы спинальной гиперстезии, ни одной из них не произошло полного неврологического восстановления. Владельцы и ветеринарные хирурги оценивали всех кошек как имеющих хорошее качество жизни; однако, качество жизни рассматривалось как сниженное, в сравнении с временем до начала клинических симптомов у всех кошек, с 3/8 кошек живущих в настояшее время только внутри дома. Одна кошка (кошка 2) имела продолжающееся недержание мочи, требующее ручное отдавливание мочевого пузыря 2 раза в день и та же кошка имела перемежающееся недержание кала.
В целом, 7/8 кошек (88%) рассматривались как имеющие хороший долговременный исход и одна кошка рассматривалась как имеющая неудовлетворительный исход.

Обсуждение

Дифференциальный диагноз для кошек, демонстрирующих острое или подострое начало пареза или паралича включает аортальную тромбоэмболию, ишемическую миелопатию, фибрознохрящевую эмболию, IVDE и переломы и вывихи позвонков. 8,9 Ранее сообщалось, что травма встречается в 14% случаев повреждения спинного мозга кошек, 10 и частота встречаемости переломов или вывихов позвонков обычно рассматривается как наиболее важный дифференциальный диагноз для кошек, демонстрирующих подострое начало дисфункции спинного мозга после предполагаемого или зафиксированного свидетелями факта травмы. Из кошек, включенных в это исследование, примерно ¾ имели зафиксированный свидетелями факт травмы или было доказательство травмы на основании клинического обследования или визуализационных находок. Это подчеркивает необходимость включения ANNPE в качестве возможного дифференциального диагноза для любой кошки, имеющей острое или подострое начало дисфункции спинного мозга, особенно если имеется история или доказательство травмы.
Когда рассматривается локализация ANNPE, то наиболее частыми локализациями были дисковые пространства L3–L4 и L5–6. Также имелся один пациент с ANNPE в шейном отделе. Это согласуется с предыдущими сообщениями о случаях, которые описывают поясничную или шейную локализацию ANNPE. 4,5 Хотя это противоречит находкам у собак, которые преимущественно имеют T12–T13 и T13/L1 ANNPE, 2 это более согласуется с данными наблюдений по локализации IVDE, с предыдущими исследованиями, указывающими на то, что средне-каудальный поясничный регион более часто поражается у кошек. 11–13
Исход для пациентов с ANNPE, в целом, очень хороший, с почти 90% кошек с восстановившейся способностью самостоятельно передвигаться с полным отсутствием недержанием мочи и кала. Ни одна из этих кошек не была описана как полностью восстановившаяся после начала клинических симптомов и это согласуется с одним из предыдущих сообщений о том, что атаксия наблюдалась в течение 6 месяцев после постановки диагноза. 4 Однако, у 50% кошек восстановилась прежняя модель поведения, включая внешнюю активность и взбирание на мебель. Из результатов этого исследования трудно вывести какие либо заключения о потенциальных прогностических указателях для кошек с предположительной ANNPE.Частота встречаемости ANNPE у кошек неизвестна, хотя кажется, что она встречается нечасто; однако, возможно, что это отражает недостаточные знания об этом состоянии и, поэтому, недостаточную диагностику. Стоимость лечения, в сравнении с кошками с диагностированным переломом/вывихом или IVDE, является значительно меньшей, благодаря тому факту, что не требуется хирургическое вмешательство. Это, в сочетании с доказательствами, представленными в этом исследовании, которые указывают на то, что кошки с ANNPE имеют благоприятный прогноз, подчеркивает необходимость рассматривать ANNPE как важный дифференциальный диагноз у кошек с подострым началом дисфункции спинного мозга.
Неврология собак и кошек