Free
170 заболеваний кожи собак и кошек с 1200 фото

Лагенидиоз у собак

Текст статьи и фото 1-2 из книги SMALL ANIMAL DERMATOLOGY A COLOR ATLAS AND THERAPEUTIC GUIDE 2017г

Перевод с англ.: ветеринар - невролог/кардиолог Васильев

Особенности

Lagenidium spp. - это водные оомицеты, которые обычно паразитируют на других грибах, водорослях, нематодах и ракообразных. Недавно было установлено, что вид Lagenidium вызывает кожные заболевания у собак, живущих на юго-востоке Соединенных Штатов. Лагенидиоз редко встречается у собак, при этом наиболее часто он встречается у собак молодого и среднего возраста, которые часто плавают в озерах или прудах. Поражения кожи обычно прогрессируют и локально инвазивны и характеризуются твердыми кожными и подкожными узелками или изъязвленными отечными образованиями с участками некроза и многочисленными свищами, из которых выделяется геморрагический, слизисто - гнойный экссудат. Поражения чаще всего встречаются на конечностях и туловище. Часто наблюдается регионарная лимфаденопатия. Распространение инфекции на отдаленные участки, такие как магистральные сосуды, легкие и средостение, является распространенным явлением и может привести к геморрагическому шоку.

Дифференциальные диагнозы

Дифференциальные диагнозы включают реакцию на инородное тело, неоплазию, глубокую бактериальную инфекцию и другие оомицетные грибковые инфекции (особенно питиоз и зигомикоз).

Диагноз

1. Цитология (экссудат): гранулематозное воспаление, которое может содержать эозинофилы и грибковые элементы.

2. Дерматогистопатология: узелковый и диффузный эозинофильный (пио)гранулематозный дерматит и панникулит с очагами некроза и нагноения. Широкие, иногда с перегородками, неправильно ветвящиеся грибковые гифы обнаруживаются внутриклеточно (внутри гигантских клеток) и внеклеточно (в зонах воспаления или некроза).

3. Вестерн-иммуноблоттинг-анализ: выявление сывороточных антител против Lagenidium.

4. Метод ПЦР (образцы тканей): выявление ДНК Lagenidium.

5. Грибковая культура: Lagenidium spp. Примечание: микроорганизм может не расти, если не использовать специальную грибковую среду.

6. Рентгенография и УЗИ: поражения грудной клетки или брюшной полости, если наблюдается распостранение инфекции.

Лечение и прогноз

1. Методом выбора является полное, широкое хирургическое удаление или ампутация пораженной конечности.
2. Можно попробовать длительную системную противогрибковую терапию, но лечение итраконазолом и амфотерицином В обычно неэффективно.
3. Прогноз неблагоприятен, если невозможно полное хирургическое удаление. Лагенидиоз не заразен для других животных или человека

Фото 1. Лагенидиоз у собак. Язвенный дерматит у кобеля ретривера в возрасте 1 года. Некротическое, глубоко изъязвленное поражение плюсны.
Фото 2. Лагенидиоз у собак. Крупное (9 × 9 см), приподнятое, изъязвленное и экссудативное кожное поражение, вызванное инфекцией Lagenidium spp., в вентральной части живота у 6-летней самки спрингер-спаниеля.
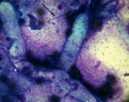
Фото 3. Лагенидиоз у собак. Цитологическое исследование собаки с фото 3, демонстрирующее воспалительные клетки и крупные, слабоокрашивающиеся гифы с разветвлением под углом 90°, характерные для этого организма. Увеличение 4.
Фото 4. Лагенидиоз у собак. Цитологическое исследование собаки с фото 3, демонстрирующее воспалительные клетки и крупные, слабоокрашивающиеся гифы с разветвлением под углом 90°, характерные для этого организма. Увеличение 100.


Фото 3 и 4 из Clinical Atlas of Canine and Feline Dermatology 2020г