Free

Кокцидиомикоз у собак и кошек

Текст статьи и фото 1-2 из книги SMALL ANIMAL DERMATOLOGY A COLOR ATLAS AND THERAPEUTIC GUIDE 2017г

Перевод с англ.: ветеринар - невролог/кардиолог Васильев

Особенности

Кокцидиомикоз у собак и кошек вызывается Coccidioides immitis - диморфным грибом и почвенным сапрофитом, эндемичным для пустынных районов на юго-западе Соединенных Штатов Америки, Мексики, Центральной Америки и некоторых регионов Южной Америки. Хотя первичные кожные поражения в результате прямого заражения возникают редко, чаще всего организмы вдыхаются и развивается легочная инфекция, которая может распространиться на лимфатические узлы, глаза, кожу, кости и другие органы. Кокцидиоидомикоз редко встречается у кошек и нечасто - у собак, при этом самая высокая частота встречаемости зарегистрирована у молодых собак средних и крупных пород, находящихся на открытом воздухе.

Поражения кожи у собак включают изъязвленные узелки, подкожные абсцессы и свищи в областях инфицированных длинных костей. Распространена регионарная лимфаденомегалия. У кошек подкожные образования, абсцессы и свищи возникают не вследствие воспаления кости. Может наблюдаться регионарная лимфаденомегалия. Другие признаки у собак и кошек включают анорексию, потерю веса, лихорадку и депрессию. В зависимости от пораженных органов могут наблюдаться кашель, одышка, тахипноэ, хромота из-за боли в костях и заболевания глаз.

Дифференциальные диагнозы

Дифференциальные диагнозы включают другие грибковые и бактериальные инфекции, реакцию на инородное тело и неоплазию.

Диагноз

1. Цитологическое исследование (экссудат, аспират тканей): от гнойного до пиогранулематозного воспаления. Грибковые организмы обнаруживаются редко.

2. Дерматогистопатология: узелковый или диффузный гнойный или

(пио)гранулематозный дерматит и панникулит с несколькими крупными, круглыми, двустенными структурами (сферулы), содержащими эндоспоры.

3. Серология: выявление антител против C. immitis с помощью преципитина, фиксации комплемента, латексной агглютинации или ИФА. Возможны как ложноположительные, так и ложноотрицательные результаты (например, титры могут быть отрицательными на ранних стадиях заболевания, а низкие титры распространены среди здоровых животных, живущих в эндемичных районах).

4. Грибковая культура (отправьте в диагностическую лабораторию, поскольку грибковые культуры очень заразны): C. immitis.

5. Рентгенография: часто встречаются изменения в легких. Остеолитические поражения развиваются при поражении костей.

6. ПЦР-анализ, если он доступен, может упростить диагностику.

Лечение и прогноз

1. Системную противогрибковую терапию следует назначать в течение длительного периода времени (минимум 1 год в случае диссеминации) и она должна продолжаться не менее 2 месяцев после полного клинического и рентгенологического разрешения поражений. Лечение также следует продолжать до тех пор, пока титры антител к C. immitis в сыворотке крови не станут отрицательными.

2. Эффективные методы лечения включают следующее:

■ Кетоконазол (собакам) в дозе от 5 до 10 мг/кг с пищей каждые 12 часов.

■ Итраконазол (капсулы Споранокс) от 5 до 10 мг/кг перорально с пищей каждые 12 часов.

■ Флуконазол в дозе 10 мг/кг каждые 12 часов.

■ Тербинафин в дозе 30-40 мг/кг каждые 12 - 24 часа может быть эффективным.

3. Прогноз непредсказуем, и рецидивы часты. Если возникает рецидив, для поддержания ремиссии может потребоваться возобновление лечения до тех пор, пока очаги поражения не исчезнут, с последующей длительной терапией низкими дозами. Инфицированные животные (дрожжевая форма) не считаются заразными для других животных или людей, но грибковые культуры (мицелиальная форма) очень заразны.

Фото 1. Кокцидиомикоз у кошек и собак. Множественные свищи на седалищной кости инфицированной кошки.

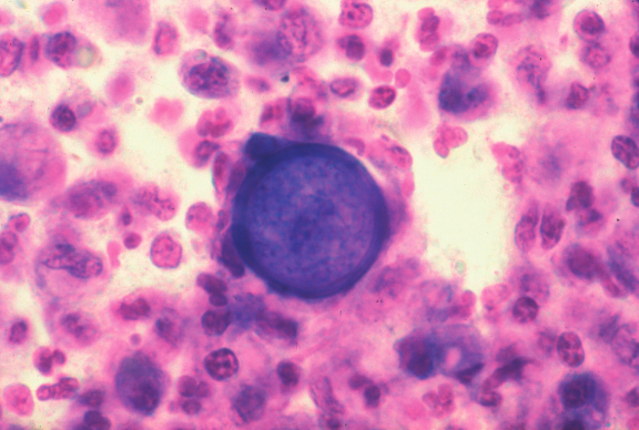
Фото 2. Кокцидиомикоз у кошек и собак Микроскопическое изображение организма Coccidioides, рассматриваемое с помощью объектива 100×(масло).

Фото 3. Кокцидиомикоз у кошек и собак. Изъязвления и свищи у собаки.

Фото 4. Кокцидиомикоз у кошек и собак. Целлюлит со слабовыраженными свищами на лапе собаки.

Фото 5. Кокцидиомикоз у кошек и собак. Отек дорсальной части морды у собаки.

Фото 6. Кокцидиомикоз у кошек и собак. Эритематозный узелок с алопецией на пальце собаки.

Фото 7. Кокцидиомикоз у кошек и собак. Нативный мазок от собаки. Разорванная сферула, высвобождающая эндоспоры и окруженная дегенеративными нейтрофилами.

Фото 3-5 из Clinical Atlas of Canine and Feline Dermatology 2020г

Фото 6-7 из руководства Small Animal Dermatology Muller and Kirk’s 7th Edition

Фото 1. Кокцидиомикоз у кошек и собак. Множественные свищи на седалищной кости инфицированной кошки.
Фото 2. Кокцидиомикоз у кошек и собак Микроскопическое изображение организма Coccidioides, рассматриваемое с помощью объектива 100×(масло).
Фото 3. Кокцидиомикоз у кошек и собак. Изъязвления и свищи у собаки.
Фото 4. Кокцидиомикоз у кошек и собак. Целлюлит со слабовыраженными свищами на лапе собаки.
Фото 5. Кокцидиомикоз у кошек и собак. Отек дорсальной части морды у собаки.
Фото 6. Кокцидиомикоз у кошек и собак. Эритематозный узелок с алопецией на пальце собаки.
Фото 7. Кокцидиомикоз у кошек и собак. Нативный мазок от собаки. Разорванная сферула, высвобождающая эндоспоры и окруженная дегенеративными нейтрофилами.


Фото 3-5 из Clinical Atlas of Canine and Feline Dermatology 2020г

Фото 6-7 из руководства Small Animal Dermatology Muller and Kirk’s 7th Edition
170 заболеваний кожи собак и кошек с 1200 фото